Methodology
Kinematics in the continuum damage mechanics framework
The kinematics follows that in [4,5]. The material point motion is described by elastic straining, inelastic flow, and formation and growth of damage
and is illustrated by the multiplicative decomposition of the deformation gradient shown in Fig. 1. The deformation gradient, , is decomposed into the isochoric inelastic, or plastic, ( ), dilational inelastic ( ), and elastic parts ( ) given by
Eq. (1) assumes that the motion of the body is described by a smooth displacement function. This precludes the initiation of discrete failure surfaces
but still allows a continuum description of damage. The elastic deformation gradient, , represents lattice displacements from equilibrium. The inelastic deformation gradient, , represents a continuous distribution of dislocations whose volume preserving motion produces permanent shape changes. The volumetric inelastic deformation gradient, , represents a continuous distribution of voids causing the volume change of the material from that arises from inelastic deformation. It is assumed to have the form , where is a function to be determined from kinematics (or conservation of mass).
The Jacobian of the deformation gradient is related to the change in volume or change in density for constant mass as
and must be positive. The change in volume from the reference configuration (State 0) to the intermediate configuration (State 2) is assuming that the volume in State 0 equals that in State 1 because of inelastic incompressibility. The volume and density in the reference configuration are given by and , respectively. In transforming the configuration from State 0 to State 2, an added volume from the voids, ), is introduced to the total volume, but the volume of the solid matter remains unchanged at its reference value, because the material is unstressed in this configuration. The intermediate configuration in State 2 then designates when elastic unloading has occurred. Damage, ), can be defined as the ratio of the change in volume of an element in the elastically unloaded state (State 2) from its volume in the initial reference state to its volume in the elastically unloaded state
From this definition, it follows that
where now the Jacobian is determined by the damage parameter, , as
Consequently, the restriction that damage is assumed to produce isotropic dilatation gives the volumetric part of the deformation gradient as
where . The velocity gradient associated with the deformation gradient, from Eq. (1) is given by
where and with analogous formulas holding for the elastic, volumetric plastic, and deviatoric plastic parts of the velocity gradients expressed as , , and . The volumetric part of the velocity gradient is then given by
which defines the plastic volumetric rate of deformation as
Also note here that vanishes. The trace of the
volumetric part, Eq. (9), is given as
so the damage parameter, , directly relates to the volumetric rate of deformation. The elastic rate of deformation relates to the volumetric rate of deformation by the additive decomposition of the deformation rates similar to Eq. (7),
Similarly, the elastic velocity gradient can be decomposed into components like Eqs. (7) and (11), where the elastic spin equals the total spin when no
plastic spin is prescribed. Recall that no volumetric component exists for the spin tensor, that is ,
Now that the rate of deformation related to the damaged state is defined, we can describe damage in terms of void nucleation and void growth in
the unstressed intermediate configuration. First, we let N equal the total number of voids in a representative continuum volume of
material in the reference configuration (State 0) and let be the number of voids per unit volume in the reference configuration;
hence, . The average void volume then is , where is the void volume
from each particle that has nucleated a void. As such the volume of voids is given by
By combining this definition and inserting them into Eq. (3), the damage parameter, , can be written as
This framework for damage was employed in [4]. If the number of voids per unit volume is defined in the intermediate configuration, then
where
Recalling that the unstressed intermediate configuration has the volume and employing Eq. (3), there prevails
The density of voids is counted after the specimen is loaded to a certain strain level and then unloaded. From this point, the specimen is machined
and the number counting of voids nucleated is performed representing the elastically unloaded intermediate configuration; hence, is experimentally determined.
The damage framework is shown conceptually in Fig. 2. The number density of voids can change and growth of voids can occur independently or
simultaneously. This framework is illustrated by the schematic in Fig. 3 for the limiting cases. One void can grow while others nucleate. A typical
void growth model is assumed to have an initial void embryo of a size determined by optical micrographs or some other method. As such, the
growth rule applies to both voids that are already present and those that are nucleating. These two types of voids would experience the same void
growth in the damage framework. Because the void growth rule is initialized with a positive volume, the nucleated voids are assumed to be of the
same size of the initial voids. Perhaps the most realistic embryo size for the newly nucleated site is the size of the second phase particle. The
framework allows for this initial choice as well as others. For materials with second phases and pre-existing voids, one would anticipate that the
average size of the second phase and average size of the preexisting voids be di€erent. Finally, nucleation is assumed to occur by decohesion of the particle-matrix interface or by particle fracture, and more than one void can be nucleated at a given particle.
Damage has also been defined in several other ways [5-12] as a combination of nucleation, , and growth, , terms.
These different damage frameworks and the one used in this study, Eq. (17), will now be compared. For ease of reading, the damage parameters and their corresponding nucleation and growth terms will be identified with correlating numerical subscripts




These four damage frameworks cover a large class of problems that have been addressed in the literature. The differences related to these damage
frameworks have not been shown. Fig. 4 shows the damage evolution as a function of stress triaxiality illustrating the phenomenological differences.
Fig. 5 shows the relation between void nucleation and growth in the four damage frameworks when the total damage is unity. is a
linear relationship, and the other three are nonlinear to varying degrees. is most often referred to in the materials science
literature and is representative of an intermediate configuration representation. As discussed in this section, is the appropriate
form for a reference configuration analysis. is motivated from the grain nucleation model developed in [13-15]. The reason for the similarities in , , and damage frameworks is not obvious at first. When a binomial expansion
is substituted in and an exponential expansion is substituted into , the similarities are revealed. The two
damage frameworks and are essentially with higher order terms.
The damage form, , is often used in the literature to separate the effects of void nucleation and growth [7,8,10-12,16].
In this case and are assumed to be normalized quantities and hence represent relative volume fractions.
As such, is not a number density of voids as described in Eqs. (12)-(15), but is a volume fraction of cracked particles.
Also, is a void volume fraction, not just a void volume. Although can be used to model damage in a
phenomenological manner, this purely additive damage form lacks physical motivation in the opinion of the authors.
|
Material Model
Void nucleation, growth, and coalescence parameters
It follows that, the parameters for the void
nucleation, growth, and coalescence terms are determined
and explained, but first a description of
the material and test specimens is warranted.
The cast A356 aluminum alloy considered in
this study work hardenable aluminum matrix with
the major second phase being silicon particles in
the eutectic region. The aluminum alloy comprises
7% Si, 0.4% Mg, 0.01% Fe, 0.01% Cu, 0.01% Mn,
0.01% Sr, 0.01% Ti, and 0.01% Zn. The material
was cast into plates A356 aluminum plates (20
cm x 14 cm x 5 cm) in iron chill molds on the top,
bottom, and end of the casting cavity to simulate a
permanent mold. A no-bake silica sand was used
to create the sides of the plate, the riser, and the
down sprue. A ceramic foam filter was used between
the down sprue and the riser. A356.2 ingot
was melted in an induction furnace. The melt was
grain refined with titanium-boron, strontium
modified, and degassed using a rotary degasser.
The castings were poured between 950 and 977 K,
and then cooled over a 16-h period. The plates
were removed from the mold and then heat treated
to a T6 anneal (solutionized at 810.8 K for 16 h,
quenched in hot water at 344 K, and then aged for
4 h at 492.7 K). The microstructure contained
aluminum-rich dendrite cells, equiaxed fine silicon
particles distributed in the interdendritic regions,
and sub-micron intermetallics.
Test specimens were machined from the chill
end of the casting, where the amount of microporosity
was measured to be low (<0.1% volume
fraction), to determine the number of voids nucleated
under tension, compression, and uniaxial
cyclic boundary conditions. Test specimens were
stopped at different strain levels, and then the
specimens were sectioned in two pieces so that
image analysis could be performed to quantify the
void nucleation density. The resulting typical cast
microstructure is shown in Fig. 6. Observe that the
microstructure contains aluminum-rich dendrite
cells, equiaxed fine silicon particles distributed in
the interdendritic regions, sub-micron size
precipitates that are responsible for precipitation
hardening (not observed by optical microscopy),
and numerous Fe and Cu based minor intermetallic
phases. After testing, the specimens were
sectioned along the vertical plane containing the
loading direction (torsional axis in case torsion test
specimens), and metallographically polished using
standard procedures.
Void nucleation
A series of tension, compression, and torsion
experiments were performed to different strain
levels to quantify void nucleation evolution of this
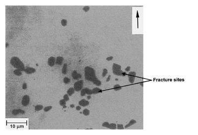
cast A356 aluminum alloy. Figs. 6-8 show representative
optical micrographs of specimens
strained under tensile, compressive, and torsional
loading conditions. In each micrograph, the loading
direction is parallel to the height of the micrograph
(see arrow). Observe that fractured Si
particles are clearly observed under all three
loading conditions. Further, the majority of the
cracks-voids in the tensile test specimen (Fig. 6)
are perpendicular to the loading direction, whereas
the majority of the cracks-voids in the compression
test specimen (Fig. 7) are parallel to the
loading direction. In the torsion test specimen
(Fig. 8), the cracks-voids are observed in all directions.
In each specimen, the broken/debonded
Si particles were counted, and their sizes, and
orientations were measured by using interactive
digital image analysis. These measurements were
performed on more than 100 systematic random
fields of view at 500 x in each specimen to obtain
statistically reliable particle damage data. From
these data, the fraction of damaged Si particles,
their average size, and orientation distribution
were computed.
The void nucleation rule of [17] is used to model
the results from the cast A356 aluminum data
under compression, tension, and torsion. The integrated
form of the void nucleation rate equation
is given by
where is the void nucleation density, the
strain at time t, and is a material constant.
The material parameters a, b, and c relate to the
volume fraction of nucleation events arising from
local microstresses in the material. These constants
are determined experimentally from tension,
compression, and torsion tests in which the number
density of void sites is measured at different
strain levels. The stress state dependence on damage
evolution is captured in Eq. (21) by using the
stress invariants denoted by , , and , respectively.
is the first invariant of stress . is the second invariant of deviatoric stress , where . is the third invariant of deviatoric stress
. The rationale and motivation for
using these three invariants of stress is discussed in
[17]. The volume fraction of the second phase
material is f, the average silicon particle size is d,
and the bulk fracture toughness is .
For the cast A356 aluminum alloy in our study,
, , and .
The volume fraction and average size were determined
from optical images of the sectioned test
specimens. Fracture toughness tests were performed
to determine . The stress state parameters
were determined to be ,
, , and .
In tension, compression, and torsion, specimens
were strained to various levels and then stopped.
The number of damaged sites were then counted.
The details of determining the stress state parameters
are given in Appendix A. Fig. 9 shows the
nucleation model compared to the experimental
results for compression, tension and torsion, respectively.
Note that torsion incurred the highest number of voids nucleated followed by tension
and then by compression. It is emphasized here
that compression does indeed induce fracture sites
in which damage accumulates.
Void growth
A crucial feature in determining the damage
state, besides nucleation of voids, is void growth.
Many void growth rules have been developed and
studied [1,10] but none can comprehensively capture
different levels of stress triaxialities, different
hardening rates, different strain rates, and different
temperature regimes. The damage framework allows
for different void growth rules to included
and evaluated. In the present study, we use the
void growth rule [2]
In Eq. (22) the void volume grows as the strain
and/or stress triaxiality increases. The material
constant n is related to the strain hardening exponent
and is determined from the tension tests.
is taken to be the initial radius of the voids. As
with most void growth models, the McClintock
model allows voids to grow in tension, but not in compression or torsion. This complies with physical
observations from measurements of this cast Al-Si-Mg aluminum alloy.
Coalescence
Another item related to damage is the phenomenon
of void coalescence. Coalescence is the
joining of voids either at the microscale or macroscale
and has been observed to occur by two
main mechanisms. The first mechanism [18] occurs
when two neighboring voids grow together until
they join as one, that is, as the ligament between
them necks down to a point as illustrated in
Fig. 10. Another mechanism occurs when a localized
shear band occurs between neighboring voids
[19,20], often referred to as the "void sheet"
mechanism also shown in Fig. 10.
In the damage framework described in Eqs.
(12)-(15), coalescence is restricted to the case
where two voids grow together into one and no
void sheet occurs. It arises naturally with the
multiplicative relation between the nucleation and
growth terms in Eq. (18). As Fig. 10 demonstrates,
we start with two voids that are nucleated and
independently grow until they join together. Then,
one void emerges as they coalesce together. The
coalescence event causes a discontinuous jump in the nucleation evolution and growth evolution but
allows for continuous growth of total damage
evolution, . Although discontinuities occur in
discrete regions for the nucleation and growth
rules, the rate equations evolve as internal state
variables at a higher length scale in the continuum
where their effects are observed on macroscale
effective quantities and thus are continuous
functions.
In a phenomenological manner, we include a
coalescence term in Eq. (17) as
In the limiting case when the function
in Eq. (23) equals zero, simple coalescence occurs
and Eq. (18) results. When some function is used
for , microvoid linking is said to have occurred
and the rate of damage is increased. The
parametric trend of this effect is shown in Fig. 11.
For implementation into the constitutive relations,
we assume . It has been observed
[1,21] that the microvoid sheet mechanism is related
to particles initiating small voids in between
two larger voids as the larger voids impose their
influence on the surrounding region. As such, coalescence
is a function of both nucleation and void
growth. Obviously, other forms can be used depending
on the material being analyzed.
Plasticity
The BCJ internal state variable plasticity model
is modified to account for stress state dependent
damage evolution. The pertinent observable and
internal state variables are shown below in their
rate form as


![\underline{D}^p_d = \sqrt{\frac{3}{2}} f(T) \times sinh \left [ \frac{ \sqrt{\frac{3}{2}} \left \Vert \underline{\sigma}^' - \sqrt{\frac{2}{3}}\underline{\alpha} \right \Vert - \{ R + Y(T) \} \{ 1 - \phi \} } {V(T) \{ 1 - \phi \} } \right ] \times \frac{\underline{\sigma}^' - \sqrt{\frac{2}{3}} \underline{\alpha} } { \left \Vert \underline{sigma}^' - \sqrt{\frac{2}{3}} \underline{\alpha} \right \Vert } ,](../images/math/f/1/9/f19d6a6a11b5e4b1c02c527cd4790082.png)
![\begin{align}
\stackrel{\circ}{\underline{\alpha}} & = \stackrel{\bullet}{\underline{\alpha}} - \underline{W}^e \underline{\alpha} - \underline{\alpha} \underline{W}^e \\
& = h(T) \underline{D}^p_d - \left [ \sqrt{\frac{2}{3}} r_d (T) \left \Vert \underline{D}^p_d \right \Vert + r_s(T) \right ] \sqrt{\frac{2}{3}} \left \Vert \underline{\alpha} \right \Vert \underline{\alpha}, \\
\end{align}](../images/math/9/f/1/9f12b0b0d5125adf45a23d7967b6a8f4.png)
![R = H(T) \sqrt{\frac{2}{3}} \underline{D}^p_d - \left [ \sqrt{\frac{2}{3}} R_d(T) \left \Vert \underline{D}^p_d \right \Vert + R_s(T) \right ] R^2,](../images/math/7/5/3/7537d70908a794b6a70ebd3d44611833.png)

and are generally written as objective rates
with indifference to the continuum frame of reference
assuming a Jaumann rate in which the
continuum spin equals the elastic spin .
The elastic Lame` constants are denoted by and
. The elastic rate of deformation results when
the total deformation , which is defined by the
boundary conditions, is subtracted from the
deviatoric and volumetric components of the flow
rule. The deviatoric plastic flow rule, , is a
function of the temperature, the kinematic hardening
internal state variable , the isotropic
hardening internal state variable (R), the volume
fraction of damaged material , and the functions
, , and , which are related to
yielding with Arrhenius-type temperature dependence.
The function is the rate-independent
yield stress. The function determines when
the rate dependence affects initial yielding. The
function determines the magnitude of rate
dependence on yielding. These functions are determined
from simple isothermal compression tests
with different strain rates and temperatures

The kinematic hardening internal state variable, ,
reflects the effect of anisotropic dislocation density,
and the isotropic hardening internal state variable
R, reflects the effect of the global dislocation density.
As such, the hardening equations (24) and
(25) are cast in a hardening-recovery format that
includes dynamic and static recovery. The functions
and are scalar in nature and describe
the diffusion-controlled static or thermal
recovery, while and are scalar functions
describing dynamic recovery. The anisotropic
hardening modulus is , and the
isotropic hardening modulus is .
The hardening moduli and dynamic recovery
functions account for deformation-induced anisotropy
arising from texture and dislocation
substructures by means of stress dependent variables.
It was shown [22] that by using in the
hardening equations the different hardening rates
between axisymmetric compression and torsion
(torsional softening) were accurately captured.
Included in [23] is the feature of [24] that distinguishes
between compression and torsion. Because
damage evolves differently under compression,
tension, and torsion for this cast Al-Si-Mg aluminum
alloy, the stress arising from these different
loading conditions is different. As such, the equations for the hardening and recovery variables are
expressed as:
![r_d = \left \{ C_7 \left ( 1 - C_{19} \left [ \frac{4}{27} - \frac{J^2_3}{J^3_2} \right ] - C_{20} \frac{J_3}{J^{1.5}_2} \right ) \right \} \times exp \left ( \frac{-C_8}{T} \right ),](../images/math/5/5/6/55611af7041fc7aa6091dcda8c3e9c7a.png)
![H = \left \{ C_9 \left ( 1 + C_{19} \left [ \frac{4}{27} - \frac{J^2_3}{J^3_2} \right ] + C_{20} \frac{J_3}{J^{1.5}_2} \right ) \right \} \times exp \left ( \frac{-C_{10}}{T} \right ),](../images/math/b/6/b/b6b8ceab16fd9eaf313c758c02344367.png)

![r_d = \left \{ C_13 \left ( 1 - C_{19} \left [ \frac{4}{27} - \frac{J^2_3}{J^3_2} \right ] - C_{20} \frac{J_3}{J^{1.5}_2} \right ) \right \} \times exp \left ( \frac{-C_{14}}{T} \right ),](../images/math/8/8/1/88187232c54b703aed022fcff883a8b3.png)
![H = \left \{ C_{15} \left ( 1 + C_{19} \left [ \frac{4}{27} - \frac{J^2_3}{J^3_2} \right ] + C_{20} \frac{J_3}{J^{1.5}_2} \right ) \right \} \times exp \left ( \frac{-C_{16}}{T} \right ),](../images/math/6/e/e/6ee1536af0f3b94439504e0275b1c1a5.png)

Because attention is focused on stress state dependent
damage in this study, we will reduce the
BCJ equations to quasi-static strain rates for examining
the phenomena at ambient temperature.
As such, many of the BCJ constants will be zero.
The constant values are given in Appendix A for
the Al-Si-Mg cast material discussed in this paper.
Finally, a note here about continuum thermodynamics
is in order since the BCJ model is motivated
from internal state variable (ISV) theory
[25]. Essentially, the ISVs reflect effects from lower
length scale microstructural causes. In this model
the ISV rate equations (28) and (29) and time rate
of change of Eq. (17) are functions of the observable
variables (temperature, stress state, and rate
of deformation). In general, the rate equations of
generalized displacements, or thermodynamics fluxes, describing the rate of change may be written
as independent equations for each ISV or as
derivatives of a suitably chosen potential function
arising from the hypothesis of generalized normality
[26]. An advantage of assuming generalized
normality, although somewhat restrictive, is unconditional
satisfaction of the Kelvin inequality of
the second law of thermodynamics (nonnegative
intrinsic dissipation), i.e.,

Here, the backstress, , is the thermodynamic force
related to kinematic hardening; the isotropic
stress, , is the thermodynamic force related to
isotropic hardening; and the energy release rate, ,
is the thermodynamic force related to the kinematic
damage variable, . The damage ISV encompasses
dissipation according to Eq. (38) from
the void nucleation, growth, and coalescence
terms.
|
Input Data
Model implementation into finite element code
A few comments are warranted in regard to the
implementation of the plasticity-damage model.
When damage approaches unity, failure is assumed
to occur. The goal is to implement the
damage framework into a finite element code for
solving complex boundary value problems, so
failure occurs as within an element.
Damage accumulation less than unity would be
designated as failed material by engineers. In fact,
it was stated [27] that a damage level of 50% is the
limitation on the degraded elastic moduli. Practically,
the total damage for final failure should
perhaps be even less than 50%, but in applications
[28] using the void growth rule [29,30], the damage
goes rapidly to unity just after a few percent void
volume fraction. More complicated functions for
the damaged elastic moduli can be used such as
that in [31], but these are computationally expensive.
To implement the model in a finite element
code, we replace the deviatoric plastic rate of deformation
with the total rate of deformation in the
recovery terms of the hardening rate equations
(28) and (29). This substitution makes the hardening
rate equations directly solvable. Eqs. (28)
and (29) become:
At the beginning of each time step, determine
the values for and from the previous step to
modify , , h, and H. Employed then is a radial
return method to determine the plastic part of the
strain by assuming the strain to be all elastic (i.e.
). This gives the following trial values for
the deviatoric stress and internal hardening variables:
Note that a differential equation of the form
has a solution that tends to zero, but if
we take too large a time step, our approximate
integration could oscillate about zero. To avoid
this behavior, we limit the terms multiplying (al)
and in Eqs. (42) and (43) to be greater than or
equal to zero.
Define the tensor , such that the
flow rule can be written as
By taking the norm of both sides, Eq. (44) can
be inverted to give
If on evaluation of we find , then the
elastic assumption is valid. Use the trial values of
, and R as the actual values. Otherwise, look for
a deviatoric plastic strain component such that
This leads to corrections to the trial values of:
Substituting these corrected values back into
the inverted flow rule, it is easy to show that
is satisfied by choosing as:
Eq. (49) is then used to correct the trial values.
We then calculate the total effective strain as
At this point we can calculate and from the
corrected and calculate a new damage term
from updated nucleation, void growth, and coalescence
from Eqs. (21)-(24). The updated damage
equations become:
Finally, we add the pressure term to update the
total stress as
where
Fig. 12 shows a comparison of the model to
stress-strain data from compression, tension, and
torsion tests at ambient temperature and quasistatic
loading conditions . These curves
reflect the inclusion of the void nucleation, growth,
and coalescence terms. The hardening rate differences
arising from these different global stress
states is driven more by void nucleation than the
growth and coalescence. It can be seen from Fig. 9
that the void nucleation rate is increasing as you
go from compression to tension to torsion. The
void nucleation relaxes the local dislocation density around the particles to relieve the local
microstresses. As such, the global hardening rate is
increasing as you go from torsion to tension to
compression, the reverse order of the void nucleation rate.
A comment should be made regarding the
plotting of the nucleation density of voids in a finite element code. First, physical measurements of
the nucleation density is a number count per unit
area, so in 2D finite element calculations, the void
growth area must be used. Also, if a total number
of voids nucleated is desired as opposed to a
number density, then the area of the element must
be included with the corresponding units conversion.
The current measure is a number count per millimeter squared.
|
References
[1] W.M. Garrison, N.R. Moody, J. Phys. Chem. Solids 48 (1987) 1035-1074.
[2] F.A. McClintock, A criterion for ductile fracture by the growth of holes, ASME J. Appl. Mech. 35 (1968) 363-371.
[3] D.J. Bammann, M.L. Chiesa, G.C. Johnson, Modeling large deformation and failure in manufacturing processes,
in: T. Tatsumi, E. Wannabe, T. Kambe (Eds.), Theoretical and Applied Mechanics, Elsevier, Amsterdam, 1996, pp. 359-376.
[4] L. Davison, A.L. Stevens, M.E. Kipp, Theory of spall damage accumulation in ductile metals, J. Mech. Phys. Solids 25 (1977) 11-28.
[5] D.J. Bammann, E.C. Aifantis, A damage model for ductile metals, Nucl. Eng. Des. 116 (1989) 355-362.
[6] T.W. Barbee, L. Seaman, R. Crewdson, D. Curran, Dynamic fracture criteria for ductile and brittle metals, J. Mater., JMLSA 7 (3) (1972) 393-401.
[7] A.L. Gurson, Continuum theory of ductile rupture by void nucleation and growth - 1. Yield criteria and flow rules for porous ductile media, J. Eng. Mater. Technol. 99 (1977) 2-15.
[8] A.L. Gurson, Porous rigid-plastic materials containing rigid inclusions-yield function, plastic potential, and void nucleation, in: D.M.R. Taplin (Ed.), Proc. Int. Conf. Fracture, vol. 2A, 1977, pp. 357-364. 46 M.F. Horstemeyer et al. / Theoretical and Applied Fracture Mechanics 33 (2000) 31-47
[9] E.P. Chen, M.E. Kipp, D.E. Grady, A strain-rate sensitive rock fragmentation model, in: K.P. Chong, J. Ward Smith (Eds.), Mechanics of Oil Shale, Elsevier, New York, 1984, pp. 423-456.
[10] V. Tvergaard, Material failure by void growth to coalescence, in: J.W. Hutchinson, T.Y. Wu (Eds.), Advances in Applied Mechanics, vol. 27, 1990, pp. 83-151.
[11] J.B. Leblond, G. Perrin, J. Devaux, An improved Gursontype model for hardenable ductile metals, Eur. J. Mech. A 14 (4) (1995) 499-527.
[12] E. Marin, A critical study of finite strain porous inelasticity, PhD Thesis, Georgia Institute of Technology, 1993.
[13] A.N. Kolmogorov, Bull. Acad. Sci. USSR, No. 3 (1937).
[14] M. Avrami, Kinetics of phase change, J. Chem. Phys. 7 (1939) 1103-1112.
[15] W.A. Johnson, R.F. Mehl, Processes of nucleation and growth, Trans. AIME (Iron & Steel Div.) 135 (1939) 416-442.
[16] D.L. McDowell, E. Marin, C. Bertoncelli, A combined kinematic-isotropic hardening theory for porous inelasticity of ductile metals, Int. J. Damage Mech. 2 (1993) 137-161.
[17] M.F. Horstemeyer, A.M. Gokhale, A void nucleation model for ductile materials, Int. J. Solids Struct., accepted.
[18] R. Garber, I.M. Bernstein, A.W. Thompson, Scripta Metall. 10 (1976) 341.
[19] T.B. Cox, J.R. Low Jr, An investigation of the plastic fracture of AISI 4340 and 18 Nickel-200 grade maraging steels, Metall. Trans. 5 (1974) 1457-1470.
[20] H.C. Rogers, The tensile fracture of ductile metals, Trans. AIME 218 (1960) 498-506.
[21] P.E. Magnusen, E.M. Dubensky, D.A. Koss, The effect of void arrays on void linking during ductile fracture, Acta Metall. 36 (6) (1988) 1503-1509.
[22] M.P. Miller, D.L. McDowell, The effect of stress state on the large strain inelastic deformation behavior of 304L stainless steel, J. Eng. Mater. Technol., Trans. ASME 118 (1) (1996) 28-36.
[23] M.F. Horstemeyer, D.L. McDowell, D.J. Bammann, Torsional softening and the forming limit diagram, in: K. Chen (Ed.), Analysis of Autobody Stamping Technology, SAE Tech. Ser. 960599, SP1134, 1995, pp. 81-89.
[24] D.J. Bammann, Modelling the temperature and strain rate dependent large deformation of metals, Appl. Mech. Rev. 43 (5) Part 2 (1990) 312-319.
[25] B.D. Coleman, M.E. Gurtin, Thermodynamics with internal state variables, J. Chem. Phys. 47 (1967) 597-613.
[26] J.R. Rice, Inelastic constitutive relations for solids: an internal-variable theory and its application to metal plasticity, J. Mech. Phys. Solids 9 (1971) 433-455.
[27] B. Budiansky, Thermal and thermoelastic properties of isotropic composites, J. Composite Mater. 4 (1970) 286-295.
[28] D.J. Bammann, M.L. Chiesa, M.F. Horstemeyer, L.I. Weingarten, Failure in ductile materials using finite element methods, in: N. Jones, T. Weirzbicki (Eds.), Structural Crashworthiness and Failure, Elsevier, Amsterdam, 1993, pp. 1-54 (Chapter 1).
[29] A.C.F. Cocks, M.F. Ashby, Intergranular fracture during power law creep under multixial stresses, J. Metal Sci. (1980) 395-402.
[30] A.C.F. Cocks, M.F. Ashby, On creep fracture by void growth, Prog. Mater. Sci. 27 (1982) 189-244.
[31] Y.H. Zhao, G.P. Tandon, G.J. Weng, Elastic moduli for a class of porous materials, Acta Mechanica 76 (1989) 105-130.
|